牙龈萎缩自己恢复的小妙招 牙龈萎缩怎么恢复的小偏方
牙龈萎缩自己恢复的小妙招 牙龈萎缩怎么恢复的小偏方
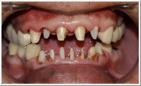
很多人出现牙龈萎缩后都会十分犯愁,因为不仅日常刷牙流血还会导致口臭、牙齿酸软松动等情况。很多人都苦不堪言,今天就来给大家讲解如何“脱离苦海”。

为什么会出现牙龈萎缩?出现牙龈萎缩要怎么办?
出现牙龈萎缩的原因各有不同我给大家总结四点并告诉大家要怎么做!
1、年龄增长导致的。
随着年龄增长,我们的身体机能可开始退化,于是出现了牙龈萎缩的现象。
解决办法:建议大家一定要均衡饮食,尤其是中老年人,要注重补钙!钙流失容易导致我们的牙槽骨也跟着萎缩于是导致牙龈也跟着萎缩。

2、牙周炎症导致的。
很多人的口腔卫生没有做好,食物残渣留在口腔牙齿,长久下去菌斑堆积,形成牙结石,于是慢慢地就出现了牙龈炎症,长期的炎症刺激下,牙龈就慢慢萎缩了。
解决办法:建议一定要做好口腔清洁,早晚上刷,定期去正规的口腔医院进行超声波洁牙,如果处于牙周炎中度了,可以进行亚洲刮治,积极治疗,预防进一步萎缩、松动。

3、牙齿排列不整齐导致的。
据了解,牙齿不整齐的人患牙病几率要比牙齿整齐的要高。拥挤的牙齿会让牙槽骨变得越来越少,日常饮食啃食坚硬的东西的时候更容易导致牙槽骨被吸收,从而引起牙龈萎缩等情况出现。
解决办法:牙齿不整齐的可以及时进行牙齿矫正并且少吃过于坚硬的食物。

4、不良的修复体导致的。
部分人群以前牙齿出现了问题,贪图便宜进行装配治疗较差的假牙,但是这些质量差,不正规的治疗办法很容易导致牙齿发生炎症,进而感染其他牙齿,导致牙龈萎缩。
解决办法:到正规的口腔医院找专业的医生进行不良修复体的拆除,并重新修复好牙。

以上四个就是我日常看诊时经常遇到的牙龈萎缩的患者的情况,在这里建议大家,看牙治牙不仅要及时还要去正规有资质的医院才可以!
标签:
119
选择it培训机构须谨慎,常见陷阱深度分析 it培训面临倒闭 市面上的it培训机构数不胜数,大大小小优劣不一,一些不良机构一直影响着整个it培训行业的风气,让人们对培训产生了负面...
124
世界上有没有鬼和僵尸 世界上有没有鬼魂 世界上到底有没有鬼?人在死亡之后究竟会去往哪里?难道真的像神学中所阐述的,去往天堂或者地狱吗?其实关于死亡这个问题,无论科学...
162
行货跟水货的区别在哪 水货与行货有何区别 区别在于水货没有正式的代理销售商,所以水货的售后服务一般没有保障,而行货能在中国内地市场享受到售后服务和质量保证。水货通常...
117
对不起没关系是礼貌用语吗 对不起没关系英语口语怎么说 文/叶七 大家好,我是叶七!夏天天气炎热,火爆的太阳一晒心情总是不禁烦躁,这时脾气也会显得格外暴躁,容易对身边的亲...
103
苍蝇是不是属于昆虫类 苍蝇属于昆虫类动物吗 苍蝇属于昆虫。苍蝇具有一次交配终身产卵的生理特点。它的生活史可分为卵、幼虫(3个龄期)、前蛹、蛹、成虫。苍蝇的寿命虽然只有...
179
“新版《新华字典》删‘倭寇’一词”?调查结果来了 澎湃新闻记者 岳怀让 近日,有网友反映“倭寇”一词被移出新版《新华字典》,引发社会舆论关注。有媒体报道援引商务印书馆...
156
来日并不方长暗示什么意思 来日并不方长暗示什么,活在当下 不支持的音频/视频格式请试试刷新重播播放00:00/00:00直播00:00进入全屏0点击按住可拖动视频 生命没有永远,来日并不方长,...
107
炒茼蒿菜之前要焯水吗?这一步不懂,难怪茼蒿炒的又黑又不好吃 茼蒿是一种非常常见的蔬菜,相信很多人都很喜欢吃。一方面茼蒿的价格不高,但是口感很棒,另一方面是茼蒿的营养...
195
包邮是什么意思简单直白一点(为什么网上购物时,人们都会选择买“包邮”的商品 呢?) 现在网上购物越来越方便,大家在购物的时候都会遇到关于包邮和不包邮的问题,有时候很多朋...
139
艾叶功效 经常用艾叶泡水到底有啥功效? 艾叶是生活当中比较常见的一种中药材,形状是绿色的,可以用干艾叶也可以用刚从艾叶树上摘下来的艾叶来发挥其功效,不过现实当中大部...
185
word如何分页?段落分页选项设置的用法 今天就和小伙伴们一起好好的学习下【段落】-【换行和分页】的四个选项:孤行控制、与下段同页、段中不分页、段前分页。 1 孤行控制 首先理...
98
84消毒液的正确配比表(84消毒液配比浓度表图,84消毒液配比浓度怎么配?) 84消毒液是家里还有医院经常用的一种消毒剂,对物体表面,家具,地板等等都可以起到消毒杀菌的作用。...
173
作图软件有哪些实用的(最实用的4款绘图软件,新手必备) 对于新手来说,很多人认为绘图软件需要一定基础的设计功底,但其实也不完全是,在网上有很多非常实用的绘图软件可以...
89
左右的右的笔顺怎么写 “左”和“右”你写对了吗? 行书是一种既有艺术性又非常实用的字体,不过它自身又有一些讲究,并不完全等于楷书的连写,其中特别需要注意的一项就是笔...
179
嘴巴周围长痘痘是什么原因引起的 嘴巴周围为啥老长痘痘?以下4种原因看你中了 几个! 生活中有没有人跟小编一样呢?平时脸上不长痘,可是不知道因为什么原因,总是在嘴唇周边冒...
170
站桩的好处(站桩的好处与作用) 随着人们的生活水平的渐渐提高,人们也越来越注重于健身养生,其中比较好的健身项目就是内家拳站桩。下面介绍浩然内家拳站桩内气表现特征好处...
109
榨菜是什么菜做的啊(教你2种自制榨菜的做法,制作简单又脆爽,香辣开胃又下 饭) 榨菜,是我们常吃的一道开胃菜,口感爽脆,咸香美味,早餐的稀饭或者面条里加一些榨菜,脆嫩...
102
电信版和移动版有什么区别 为什么手机生产商不生产全网通,而还有移动版和电信 版之分? 奇了怪了,手机居然不是全网通,还得分不同的运营商有不同的版本。国内就有移动版、电...
156
第一届古代奥运会在哪里举办 公元前776年,第一届古代奥林匹克运动会在古希腊举行,是为了纪念奥林匹亚神在古希腊奥林匹亚平原上举办的一场体育竞技比赛。同时,这场 体育竞技...
107
安卓怎么清理内存垃圾全部清除(手机老是内存不足,如何正确清理手机垃圾?告 别手机卡顿) 手机长时间使用,就会出现手机内存不足的情况,除了尽可能地清理的垃圾外,还可以...